Mithilfe einer Endoskopie (Spiegelung) lassen sich Körperhöhlen und Hohlorgane untersuchen, Krankheiten erkennen und gegebenenfalls gleich behandeln. In der Tiermedizin kommt die Endoskopie vor allem in der Diagnostik der oberen (Laryngoskopie und Luftsackendoskopie) und unteren (Bronchoskopie) Atemwege zum Einsatz. Aber auch das Innere des Magens kann mit Hilfe eines 3 Meter langen Endoskopes dargestellt werden (Gastroskopie). Weitere Organe, welche mit Hilfe der Endoskopie untersucht werden können, sind die Gebärmutter und die Harnblase (z. Bsp. bei blutigem Harnabsatz).
Wir benutzen in der Praxis flexible Videoendoskope, die das Speichern von Bildern sowie längere Videoaufzeichnungen ermöglichen. Ein starres Videoendoskop kommt im Bereich der Zahnheilkunde zum Einsatz. Über einen Arbeitskanal am Endoskop können verschiedene Instrumente in die Organe eingeführt werden. Mit Hilfe von Biopsiezangen können so Gewebeproben entnommen werden. Hochfrequenzchirurgie ermöglicht kleine chirurgische Eingriffe wie das Brennen bzw. Abtragen von Zysten oder Tumoren unter endoskopischer Kontrolle. Des Weiteren können Medikamente zielgenau appliziert werden.
Laryngoskopie
Unter der Laryngoskopie versteht man die endoskopische Untersuchung des Kehlkopfes. Über den unteren Nasengang wird das Endoskop bis in den Rachenraum vorgeschoben. Die häufigste Indikation für diese Untersuchung ist ein in- oder exspiratorisches Atemgeräusch bei Belastung z.B. bei Kehlkopfpfeifen oder Gaumensegelverlagerung. Auf Anfrage ist auch eine Endoskopie des Kehlkopfes während reiterlicher Belastung oder an der Longe möglich.
Luftsackendoskopie
Eine Besonderheit der Pferde ist der Luftsack, der eine Aussackung der Ohrtrompete unterhalb der Schädelbasis darstellt. Da der Luftsack über die Ohrtrompete mit dem Nasenrachen in offener Verbindung steht, können Infektionserreger in den Luftsack eindringen. Indikationen für eine Endoskopie der Luftsäcke sind Schwellungen im hinteren Ganaschenbreich sowie einseitiger blutiger oder eitriger Nasenausfluss.
Bronchoskopie
Jede eingehende Lungenuntersuchung sollte eine Bronchoskopie beinhalten. Das Endoskop wird dabei über den unteren Nasengang bis in den Rachenraum vorgeschoben. Über die Öffnung des Kehlkopfes gelangt man in die Luftröhre (Trachea) und kann diese bis zur Aufzweigung in die Hauptbronchien verfolgen. Bei vorhandenem Sekret (Tracheobronchialsekret) kann dieses über einen Entnahmeschlauch im Arbeitskanal des Endoskops direkt entnommen und anschließend untersucht werden. Ist lediglich wenig Sekret vorhanden, kann eine Sekretprobe auch über eine Bronchoalveoläre Lavage (= Spülprobe) gewonnen werden. Hierbei wird eine geringe Menge an Flüssigkeit in die Lunge gegeben und anschließend wieder abgesaugt.
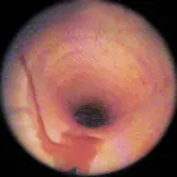
Gastroskopie (Magenspiegelung)
Mit Hilfe der Gastroskopie ist es möglich das Innere der Speiseröhre (Ösophagus) und des Magens (Gaster) anzusehen. Das Pferd sollte vor der Untersuchung mindestens 15 Stunden kein Futter aufgenommen und ungefähr vier Stunden kein Wasser getrunken haben. Nach dieser Zeit sollte der Magen sich physiologisch entleert haben und die gesamte Schleimhaut des Magens ist einsehbar. Das Endoskop wird am sedierten Pferd über den Nasengang in den Rachenraum vorgeschoben. Über die Speiseröhre gelangt man dann zum Magen und den Anfangsbereich des Dünndarms (Duodenum). Klinische Symptome bei Magengeschwüren können unter anderem Fressunlust, schlechter Ernährungszustand, Unrittigkeit und verminderte Leistuntgsfähigkeit sein.
















