Eines der ältesten, bewährtesten und am häufigsten eingesetzten bildgebenden Verfahren ist das Röntgen. Es ist aus der Pferdemedizin mittlerweile nicht mehr weg zu denken.
Die Pferdeklinik Bargteheide verfügt über eine leistungsstarke, stationäre Röntgenanlage mit hochwertigen digitalen Detektorsystemen. Hiermit sind wir in der Lage Röntgenaufnahmen in höchster und bester Qualität herzustellen.
Für Patienten, die intraoperativ geröntgt werden müssen oder stark in ihrer Beweglichkeit eingeschränkt sind, stehen außerdem mehrere mobile, digitale Röntgensysteme zur Verfügung.
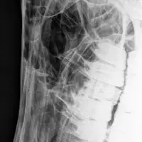
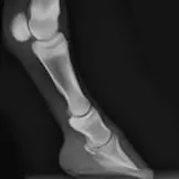
Die Anwendungsbereiche für röntgenologische Untersuchungen sind sehr vielfältig. Fast jede Lahmheitsuntersuchung und orthopädische Untersuchung erfordert die röntgenologische Darstellung bestimmter Gliedmassenabschnitte in mehreren Ebenen. Nahezu jede Kaufuntersuchung beinhaltet neben der klinischen Untersuchung auch die Erstellung von Röntgenbildern der Gliedmaßen und in vielen Fällen auch der Oberlinie. Bei bestehenden Rittigkeitsbeschwerden wird häufig eine Röntgenuntersuchung des Halses und des Rückens vorgenommen. Aufgrund der Leistungsstärke unserer Röntgenanlagen ist es uns häufig möglich, auch den Beckenbereich des Pferdes inklusive Hüftgelenk am stehenden Pferd zu untersuchen.
Ebenfalls besteht bei Zahnerkrankungen oder Erkrankungen des Schädels die Möglichkeit der röntgenologischen Untersuchung. Dieses beinhaltet auch die Darstellung der Kiefer- und Stirnhöhle sowie der Schneide- und Backenzähne. Bei Lungenerkrankungen tragen Röntgenaufnahmen der Lunge zur Diagnosefindung bei. Darüber hinaus werden in unserer Klinik spezielle Röntgenverfahren mit Kontrastmittel bei Verdacht auf Ataxie (Myelographie) oder Weichteilerkrankungen der Gelenke (Arthrographie) durchgeführt. Im Rahmen der Therapie wird das Röntgen unterstützend zur zielgenauen Injektion von Medikamenten eingesetzt.
Zur Verringerung der Stressbelastung des Pferdes und Optimierung der Aufnahmequalität werden die Patienten in der Regel sediert. Mittlerweile ist nur in sehr seltenen Fällen (z.B. Myelographie) eine Röntgenuntersuchung in Vollnarkose erforderlich. Alle Röntgenaufnahmen werden für 10 Jahre archiviert. Auf Wunsch können wir Ihnen alle Bilder digital zu Verfügung stellen.




